$('#fade').cycle();

































Augmentace

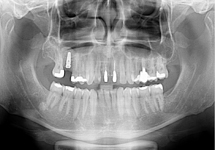
Augmentační postupy jsou zákroky minimálně invazivní až po náročnější operace upravující nedostatečnou nabídku alveolární kosti co do kvantity a kvality. 
Tyto postupy nám umožní doplnit chybějící množství kosti v čelistech pacienta i zlepšit kvalitu kosti. Většinou se setkáváme s omezenou nabídkou kostní tkáně díky resorpčním (úbytkovým) procesům způsobených věkem či vytržením zubu, přítomností anatomických struktur jako je čelistní dutina, nervový kanál nebo patologických či poúrazových stavů - cysty, zlomeniny.




     

V těchto případech musíme použít některou z následujících pomocných metod: 

použití umělého kostního granulátu

     



zahušťování kosti a její roztahování pomocí speciálních nástrojů spreading, kondenzace, distrakce

- Postupné nasazování nástrojů se zvětšujícím se průměrem vede k rozšiřování a zahušťování kosti

  

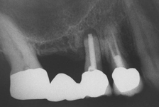
použití vlastí kosti nebo kostních štěpů - Transfer Set BEGO

     






Sonic Weld Rx
Novinkou v augmentačních metodách, kterou jako první v České republice používáme v našem zařízení je ultrazvuková metoda pomocí polylaktidové membrány - SonicWeld Rx®, kterou zavedl do implantologie v roce 2009 Dr. Dr. G.Iglhaut (Memmingen, Německo). 
Jedná se o augmentační metodu při dostavbách kosti a defektech kosti horní a dolní čelisti.
Více - Používané přístroje, technologie, materiály


              

     

     




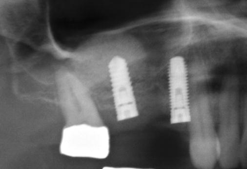
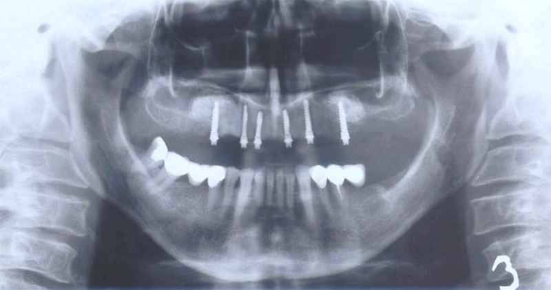
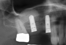
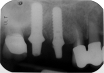
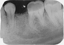
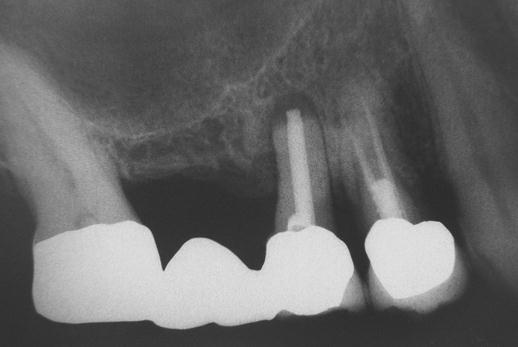
Sinus lift
Nejčastější oblastí pro doplnění kosti je čeleni dutina horní čelisti. 
Tento výkon se nazývá sinus lift - aplikace kostního granulátu do čelistní dutiny

Při ztrátě molárů a premolárů v horní čelisti a jejich náhradě implantáty se často setkáváme s nedostatečnou vertikální nabídkou kosti pod čelistní dutinou, často doprovázenou i nedostatečnou horizontální nabídkou a sníženou kvalitou kosti
(v oblasti 2. premoláru v 50%, v oblasti moláru až v 80% případů nedostatečná kostní nabídka)



     

  

  

  

  

Od roku 1985 je tento problém řešen augmentační operací nazývanou sinus lift.
Jedná se o vyzvednutí membrány, která čelistní dutinu vystýlá, pod vyzvednutou membránou vznikne kapsa, kam se umístí augmentační materiál, do kterého se zavedou implantáty. 
Vhojení implantátů se při této operaci prodlužuje na 6-12 měsíců.

- Uzavřený, interní, vnitřní, crestální sinus lift
Více - Používané přístroje, technologie, materiály

        


- Otevřený, externí, vnější, laterální sinus lift
Více - Používané přístroje, technologie, materiály

     


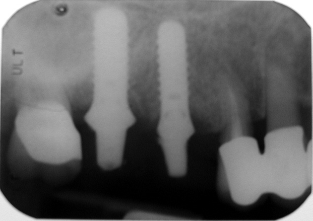
Používané přístroje, technologie, materiály

Nejlepším materiálem pro augmentace je vlastní kost pacient, kterou můžeme získat
např. odběrem z dolní čelisti pacienta. Jedná se o velmi šetrný, nenáročný výkon, který pacienta nijak nezatíží.




Kostní biomateriály BEGO
Pokud je potřeba většího množství kosti na doplnění, poskytujeme našim pacientům nejkvalitnější náhradní kostní materiály přírodní i syntetické od firmy BEGO.

  

K překrytí, doplněné kosti, se používají různé typy kolagenních membrán nebo kortikálních lamin




OsteoBiol - Kortikální lamina 

Nový typ kortikální laminy (OsteoBiol) slouží k překrytí augmentačního materiálu při rozsáhlých 3D augmentacích a u velkých kostních
defektů. Jedná se o bovinní typ kortikální kosti.








SonicWeld Rx
Novinkou v augmentačních metodách, kterou jako první v České republice používáme v našem zařízení je ultrazvuková metoda pomocí polylaktidové membrány - SonicWeld Rx®, kterou zavedl do implantologie v roce 2009 Dr. Dr. G.Iglhaut (Memmingen, Německo). 

         




LAS Kit
Souprava pro laterální přístup k sinus liftu, speciálně navržena pro bezpečný a méně invazivní laterální přístup k nadzdvihnutí membrány sinu. LAS Kit nabízí v závislosti na anatomii dutiny ústní a plánech operace různé využití.

  


CAS Kit
Souprava pro krestální přístup k operaci sinus liftu tím, že se vytvoří v kosti kónický odštěpek, kterým lze membránu bezpečně nadzvednout. 

  


Osmotický hydrogelový expander měkkých tkání

Velmi často je pro zavedení implantátu vzhledem k nedostatku kosti provést její doplnění tzv. augmentaci. Naše zařízení je zaměřené na doplnění nedostatečného množství kosti a používá celou řadu moderních postupů metod a matriálů. Velký význam pro úspěšné doplnění kosti hraje i dostatečné množství měkkých tkání – sliznice, která musí dodané množství kosti dokonale překrýt a nesmí ani tlakem způsobit jeho resorpci. Jednou z nejmodernějších a velice šetrnou metodou pro získání dostatečného množství měkkých tkání je použití osmotického hydrogelového expanderu.

  






Pokračovat na Implantologie
Pokračovat na Protetika na implantáty
Pokračovat na Dentální hygiena