$('#fade').cycle();

































Estetická stomatologie

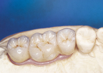
Inlay - je estetická výplň u částečně poškozených zubů, zhotovená v laboratoři nebo technologií CAD/CAM (kompozitní/keramická)

Onlay - je estetická výplň nahrazující velkou část poškozeného zubu, zhotovená v laboratoři nebo technologií CAD/CAM (kompozitní/keramická)





  


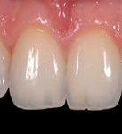
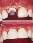
Estetická fasety - veneers - je laboratorně zhotovená faseta z vysoce estetického materiálu IPS e.max Press určená pro přední plochy zubů, především ve viditelných částech chrupu – přední zuby horní a dolní čelisti

     


Korunky a můstky:

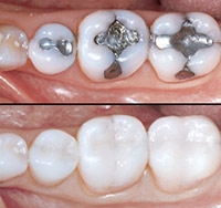
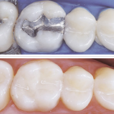
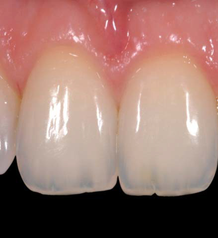
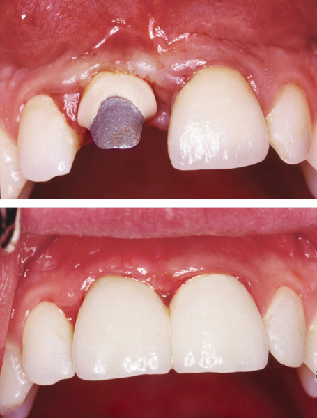
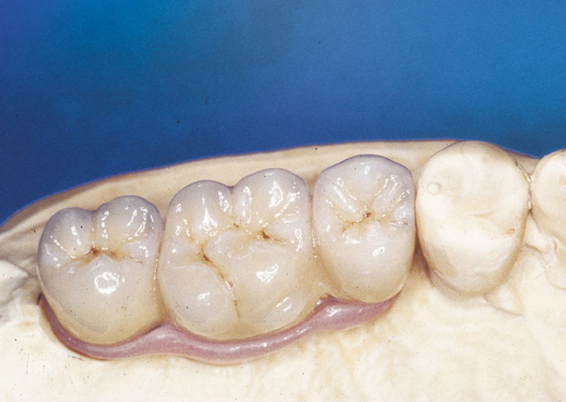
- Keramické (lithium disilikát,...) - jsou vyrobeny z jednoho nebo více druhů keramických materiálů, za použití nejnovějších technologií zpracování. První metodou je nanášení (+ napalování) několika vrstev keramiky na keramické/zirkonové (bezkovové) jádro. Druhou metodou je frézování korunek/můstků díky speciální technologii CAD/CAM (viz níže). Metoda nanášení několika vrstev keramiky umožňuje dokonalé probarvení a transparentnost zubů z hloubky, lepší propustnost a odraz světla, čímž dochází ke zhotovení dokonale estetické náhrady zubů, která je k nerozeznání od pravých zubů pacienta. Estetika je zajištěna díky stejnému indexu lomu světla jako má zubní sklovina. Proto je vždy důležité zhotovovat jednotlivé korunky a můstky s ohledem na individuální vlastnosti pravých zubů pacienta (tvar, barva,…). Další důležitou vlastností je funkčnost, neboli pevnost keramických materiálů, která je také díky použití nejmodernějších materiálů na velmi vysoké úrovni a proto není náhrada pro pacienta nijak limitující v každodenním životě.

Bezkovová keramika neškodí lidskému organismu, nedochází k žádnému ovlivnění okolních tkání v dutině ústní. V naprosté většině případů se jedná o ideální řešení pro pacienty, a to nejen pro ty, kteří si nepřejí v ústech žádný kov způsobující nechtěné tmavé okraje u krčků, zabarvování dásní oxidací, alergie, ale obecně pro většinu indikací.


     

        

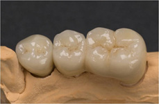
- Zirkonové - jedná se o moderní druh keramického materiálu (ZrO2 - oxid zirkoničitý), který se využívá pro výrobu bezkovových jader (kapen), na které se poté nanáší vrstvy keramiky (viz výše). Dále se využívá pro výrobu tzv. monolitů, neboli korunek/můstků vyfrézovaných z jednoho zirkonového bloku pomocí technologie CAD/CAM. Technologie CAD/CAM využívá metodu počítačového (virtuálního) modelování korunky/můstku, po němž následuje odeslání souborů do frézovacího centra, kde dochází k vyfrézování dané náhrady ze zirkonových bločků. Zirkonové konstrukce jsou tímto naprosto přesné, vysoce pevné a estetické a nemají negativní vliv na okolní tkáně.

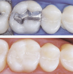
Na základě výše uvedené CAD/CAM technologie se vyrábějí také kompozitní a keramické výplně, tzv. inlay a onlay. Nejsou tak odolné vůči otěrům jako plomby, nicméně dobře regenerují ztracené zubní tkáně, chrání zub před dalším poškozením a zubním kazem.

     



  

Bělení zubů
V současné době je velmi silným trendem, zářivě bílý úsměv a zdravě vypadající zuby. Tato kritéria jsou velmi důležitá pro profesní, společenský i soukromý život široké části veřejnosti.
Dokonalé bíle zuby má málo kdo z nás. Nejen genetika, ale také styl života se staví proti zářivě bílému úsměvu. Obzvlášť kouření, pití kávy, čaje, červeného vína ovlivňuje celkové zabarvení zubů.
Bělení zubů je estetický výkon a ním spojená pacientova očekávání mohou být někdy mnohem vyšší, než následná realita. Doporučujeme proto se nejdříve poradit s lékařem/dentální hygienistkou o průběhu výkonu i očekávání pacienta.

V případě, že se rozhodnete pro tento estetický výkon, jsou zde k dispozici různé varianty, které s Vámi hygienistka ráda prokonzultuje. První je bělení zubů domácí pomocí připravených otisků a gumových nosičů pro gel. Kůra trvá jeden až dva týdny. Je důležité plně dodržovat postupy, se kterými budete seznámeni v ordinaci dentální hygieny. Výsledek domácího bělení je dlouhodobější, ale ne tak výrazný. Nepatrně efektivnější variantou je bělení zubů ordinační za použití 6% bělícího gelu, kdy během jediné návštěvy dosáhnete optimálního vybělení zubů, ale trvanlivost výsledku je krátkodobější. Toto je dáno velmi krátkou dobou aplikace gelu, kdy jsou bělící faktory schopny projít pouze slabou vrstvou skloviny, proto jsou výsledky ordinačního bělení nedostačující. Slabá vybělená vrstva skloviny se opět rychle zabarví, což má za následek krátké trvání výsledku.

Nejefektivnější metoda a námi doporučovaná je kombinované bělení zubu. Jedná se o kombinaci domácí fáze s použitím ultra těsných nosičů (14 nocí) a následného ordinačního bělení s použitím dvojitě aktivovaného 6% bělícího gelu. Metodou kombinovaného bělení zubů lze docílit optimálního výsledku vybělení zubů i trvanlivost výsledku. Opět však závisí na Vaší spolupráci a dodržení všech pravidel a instrukcí. Očekávaných výsledků lze dosahovat jak u mladých tak i starších pacientů. Předpokladem pro tento výkon je dobrá ústní hygiena.

Před bělením doporučujeme návštěvu dentální hygieny a konzultaci s lékařem o vhodnosti bělení, výběru typu bělení a očekávání pacienta. Důležité upozornění je, že bělení má vliv pouze na vlastní zubní tkáně, nelze proto očekávat změnu barvy výplní a protetických náhrad. Během bělení zubů a těsně po něm se může vyskytnout dočasně zvýšená citlivost zubů, kterou lze však zmírnit speciálním gelem. Žádné jiné vedlejší účinky se podle mnohaletých vědeckých studií neprojevují.


Výhody bělení zubu bělícím systémem Pure Whitening je jeho vysoká šetrnost k zubní tkáním (systém využívá nejnižších koncentrací peroxidu vodíku na trhu a zcela odpovídá legislativě Evropské unie. Gely pro domácí fázi mají 10% a 16% karbamid peroxidu (což odpovídá přibližně 3% a 5% peroxidu vodíku) a gely pro ordinační fázi mají 6% peroxidu vodíku. Dále na rozdíl od ostatních systémů/bělících past/bělících pásků vydrží výsledný efekt dlouhodobě bez nutnosti dodržovat tzv. „bílou dietu“ to znamená vzdát se kávy, čaje, coly, červeného vína či jiných barevných potravin.

Nevýhody bělení zubu obecně je zvýšená citlivost zubů, která závisí na použité metodě bělení a může být buď trvalá – často k tomuto dochází při neodborné aplikaci, nevhodně zvoleném bělícím systému, u systémů s vysokou koncentrací peroxidu vodíku, dále obsahující stabilizátory, konzervanty, glycerol ani jiné látky, které poškozují sklovinu zubu a zvyšující citlivost, typickým příkladem mohou být bělící pásky. U bělícího systému Pure Whitening je míra citlivosti snížena na minimum vzhledem k celkové šetrnosti (nízká koncentrace peroxidu vodíku, bez stabilizátorů, konzervantů, glycerolu,..). Je třeba také myslet na to, že vybělit lze pouze vlastní zuby, ne výplně, korunky, fasety.




Pokračovat na Protetika
Pokračovat na Dentální hygiena
Pokračovat na Bělení zubů
Pokračovat na Zubní šperky
Pokračovat na Implantologie
Pokračovat na Abeceda implantologie