
Protetika má za úkol nahradit u pacienta poškozenou nebo chybějící část zubu, celý chybějící zub, více či všechny zuby.
V některých případech jsme nuceni zejména z estetického hlediska nahradit i chybějící měkké tkáně
- dáseň.
V našem zařízení nabízíme následující možnosti protetického ošetření:
Inlay - je estetická výplň u částečně poškozených zubů, zhotovená
v laboratoři (kompozitní/keramická)
Onlay - je estetická výplň nahrazující velkou část poškozeného zubu, zhotovená
v laboratoři (kompozitní/keramická)
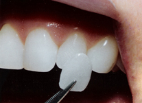
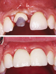
Estetická faseta - veneers - je laboratorně zhotovená faseta z vysoce estetického
materiálu IPS e.max Press určená pro přední plochy zubů, především ve viditelných částech chrupu – přední zuby horní a dolní čelisti
Korunky - nahrazují či doplňují chybějící části přirozené korunky zubu
- celoplášťové - kovové - nejjednodušší typ zhotovený z dentálních slitin kovů
- celoplášťové - kompozitní - jednoduchý, estetický dokonalý typ korunky vhodný pro viditelné části
chrupu, zhotovené ze speciálního materiálu odolného proti rozlomení - Signum, Enamel Plus HRi
- fasetové - korunky s kovovým pláštěm pokrytým na viditelných částech kompozitní pryskyřicí
– Signum, Enamel Plus HRi
Vhodné pro postranní i přední úseky chrupu
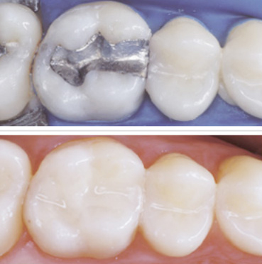
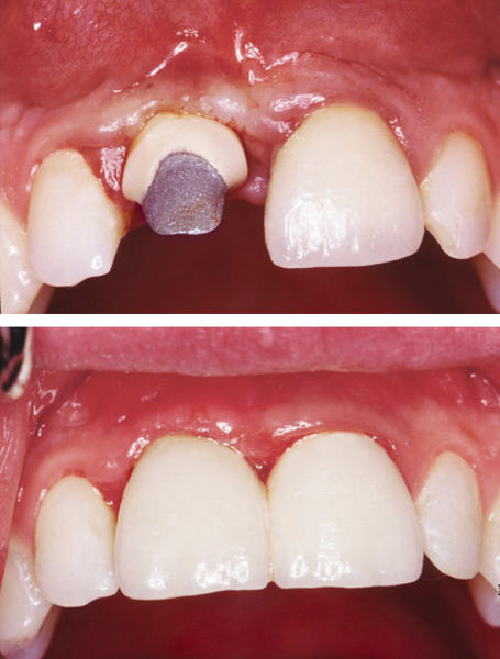
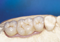
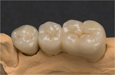
- keramické korunky (kovokeramické) - korunka má kovové jádro plně překryté
vrstvou estetické keramiky. Dostatečně estetický i funkční typ korunky
Vhodný pro všechny úseky chrupu
- keramické korunky (celokeramické – zirkonové) - korunka má buď keramické jádro překryté
vrstvou estetické keramiky nebo je vytvořená v jednom kuse z keramiky.
Dostatečně estetický i funkční typ korunky
Vhodný pro všechny úseky chrupu
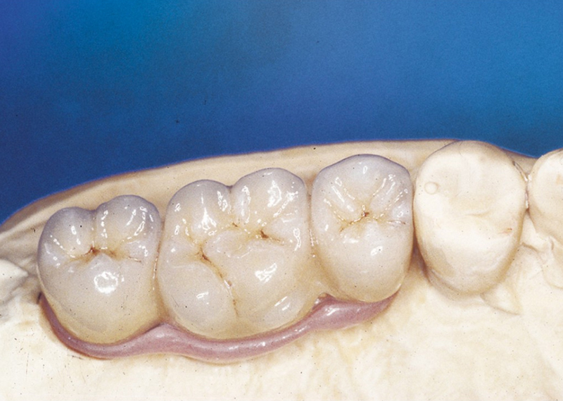
Můstky - jsou pevné náhrady chybějících zubů (jednoho a více), připevněné na zbývající, vhodně rozmístěné zuby
pacienta
- fasetové můstky - zhotovené z fasetových korunek (viz fasetové korunky) a fasetových mezičlenů
= náhradachybějícího zubu
- keramické můstky - zhotovené z keramických korunek (viz keramické korunky)
a keramických mezičlenů
= náhrada chybějícího zubu
- adhezivní můstky - lepené - jsou estetické můstky nahrazující chybějící zub bez broušení okolních zubů,
zhotovené z materiálu
(kompozitní/keramická).
Jsou připevněny speciálními materiály nebo pomocí inlay-í či onlay-í.
Snímací náhrady - nahrazují větší počet ztracených zubů nebo ztrátu všech zubů.
- Částečné - nahrazují větší počet ztracených zubů a jsou připevněny ke zbývajícím zubům pomocí
různých retenčních zařízení - kovové spony X zásuvné spoje
- Celkové - nahrazují ztrátu všech zubů i chybějící měkké tkáně (dásně). Jejich funkčnost je závislá
nejen na správném zhotovení, ale závisí na poměrech v ústech každého pacienta
(tvar dásňového výběžku, kvalita a množství slin, tloušťka
sliznice...)
Protetika na implantáty
Protetika na implantáty se vyznačuje některými specifickými odlišnostmi,
oproti zhotovování náhrad na vlastní zuby, již při zhotovení otisků, modelů,
modelaci korunek a můstků i vlastní fixaci (připevnění) náhrad.
Pokračovat na Protetika na implantáty
Pokračovat na Implantologie
Pokračovat na Estetická stomatologie
Pokračovat na Dentální hygiena
Pokračovat na Implantologie