
Správné návyky ústní hygieny a správné techniky čištění jsou zárukou nejen zdravého chrupu, ale i dlouhé životnosti všech výplní a dentálních náhrad od implantátů, přes korunky a můstky až po snímací náhrady.
Hlavní činností dentální hygienistky je snaha zabránit onemocnění dásní, snížit riziko zubního kazu, pečovat o pacienty po ošetření zubními implantáty, provádět preventivní prohlídky doporučit vhodný a správný výběr dentálních pomůcek, bezbolestné odstranění zubního kamene, plaku a pigmentů.
V ordinaci dentální hygieny Vám nabízíme následující služby:
Vstupní vyšetření - zjištění celkového zdravotního stavu (anamnéza), stavu chrupu, množství plaku, krvácivosti,
úrovně ústní hygieny, rtg vyšetření
Parodontologické vyšetření
- zhodnocení stavu parodontu (závěsného aparátu zubu) a měkkých tkání v okolí zubu,
měření hloubky parodontálních chobotů, měření indexu krvácivosti, viklavosti zubů, zhotovení rizikového profilu parodontu
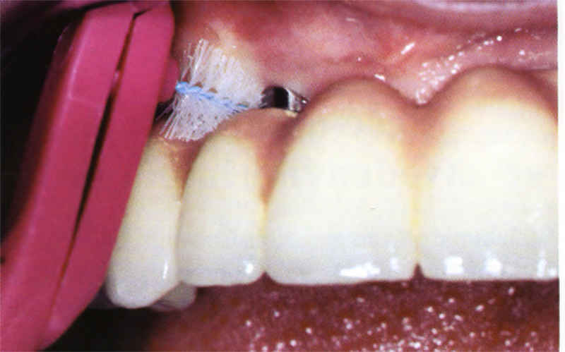
Odstranění zubního kamene - odstranění zubního kamene a povlaku moderním ultrazvukovým přístrojem
a ručními nástroji supragingiválně (nad úrovní dásně) i subgingiválně (pod úrovní dásně)
Odstranění pigmentací
- čištění skvrn od kávy, čaje, cigaret a podobně, za použití
Air-flow
(pískovače).
Depurace skvrn a povlaků ze zubů a leštění zubů
Fluoridace zubů - často se provádí u dětí, ale i u dospělých po odstranění zubního kamene a po pískování.
Jedná se o ordinační (profesionální) fluoridaci.
Proč flouridace? Příčinou poškození skloviny a zubního kazu je působení kyselin z bakterií a zubního plaku, toto
poškození pokračuje směrem k zubní dřeni, což může vyústit v nepříjemnou bolest a až ztrátu zubu.
Ordinační (profesionální) fluoridace je jednou z možností obrany proti zubnímu kazu stálých zubů u dětí i dospělých.
Provádí se v ordinaci po dokončení dentální hygieny, kdy se na zuby aplikuje koncentrovaný fluoridový gel pomocí
speciálních nosičů, který se nechá působit po dobu několika minut. Jedná se o výkon zcela bezbolestný, jedinou
limitací je prokázaná alergie na fluor.
Domácí flouridace se nedoporučuje, tuto problematiku Vám ráda vysvětlí naše dentální hygienistka.
Léčba parodontózy - důkladné vyšetření, měření hloubky “chobotů”, zjištění indexů pomocí moderního
automatického přístroje Pa-On, zánětů, viklavosti zubů. Léčba dásní.
Léčba zánětu dásní, zápachu z úst - nácvik domácí péče, motivace
Pečetění fisur
- jedná se o preventivní výkon, zejména u dětí, jehož cílem je ochrana čerstvě prořezaných stálých
zubů před vznikem zubního kazu. Nejčastěji se tento výkon provádí u prvních stálých stoliček v ústech dítěte
(tzv. „šestkách“), které jsou jako první stálé zuby dítěte ohroženy zejména díky nedostatečným návykům ústní
hygieny dítěte. Pečetění je nebolestivý výkon, při němž jsou hluboké něbo tvarově nevyhovující rýhy a jamky
na kousacích ploškách zubů vyplněny hmotou podobnou bílé plombě. Tímto dochází k zabránění kumulaci plaku
a bakterii na kousacích ploškách a eliminaci tvorby zubního kazu. Je však nezbytné dbát na ústní hygienu dítěte,
protože plak a bakterie se mohou kumulovat na jiných místech např. v krčkové části zubu. Velmi důležité jsou
pravidelné kontroly kvality pečetících výplní, aby bylo jejich poškození včas odhaleno a opraveno.
Pečetění nesmí nahradit pravidelnou ústní hygienu.
Instruktáž a motivace - instruktáž zubní hygieny, její nácvik
Léčba citlivých zubů
- pomocí fluoridových preparátů. Instrukce pro případnou domácí péči
Rentgenové vyšetření
- zhotovení snímku chrupu v elektronické podobě, zhodnocení stavu chrupu
Důležité! Na každou návštěvu dentální hygienistky si přinesete Váš zubní kartáček, případně další používané pomůcky. Naše dentální hygienistka Vám ráda individuálně poradí, jaké dentální pomůcky jsou pro Vás vhodné a jak s nimi efektivně pracovat.
Důležité!
Používané přístroje, technologie
Air-Flow EMS Master
Technologie
Air-flow je založena na jemném
pískování a leštění zubů pomocí vysokého tlaku vody a proudu vzduchu spolu s mikročásticemi jedlé sody, hnaných proudem vzduchu a vody usazeniny z povrchových částí zubu. Hlavní výhodou
Air-flow je, že dochází k odstranění
pigmentace i z mezizubních
prostor, které nejsou běžným způsobem ošetření dostupné. Pískovací přístroj v naší ordinaci dentální hygieny
EMS Master je přizpůsobený pro supra - i subgingivální odstraňování povlaku, pigmentací a leštění zubů i v těžko přístupných místech. Přístroj má speciální násadec a zásobník prášku pro
supragingivální čištění s technologií
AIR-FLOW®
a speciální násadec a zásobník prášku pro
subgingivální čištění s unikátní a patentovanou technologií
PERIO-FLOW®.
Pa-On
Periometr - první plně automatizovaný přístroj pro zjištění periodontálního statusu pacienta - diagnózy, léčby a profylaxe parodontitidy a dalších onemocnění. Díky správnému určení periodontálnímu statusu pacienta lze včas odhalit a minimalizovat objevující se obtíže.
Ceník dentální hygieny
| výkon |
cena |
Vstupní dentální hygiena
Vyšetření dásní parodontu, sliznice, odstranění zubního plaku a zubního kamene, depurace, motivace, instruktáž techniky čištění, poučení o vzniku onemocnění v dutině ústní, vlivu výživy, doporučení vhodných dentálních pomůcek, doporučení užívání zubních past ústních vod a dalších přípravků do dutiny ústní.
Doporučujeme přinést si s sebou pomůcky běžně používané při domácí ústní hygieně. |
1500 – 1800 Kč |
Pravidelná dentální hygiena
Pravidelná (každých 6 měsíců) kontrola stavu dásní parodontu, sliznice, odstranění zubního plaku a zubního kamene, depurace, motivace, reinstruktáž techniky čištění, kontrola používání vhodných dentálních pomůcek. |
900 – 1200 Kč |
Air flow – pískování
Jedná se o dentální hygienu odstranění zubního plaku a estetické odstranění pigmentových skvrn pomocí speciálního přístroje EMS®, motivaci, instruktáž, aplikaci fluoridačního gelu.
Po pískování doporučujeme alespoň 3 hodiny nekonzumovat pigmentované potraviny a nápoje (červené víno, cola, černý/zelený čaj, káva, borůvky, ostružiny, sójové omáčka...) a doporučujeme nekouřit |
od 1400 Kč |
Dentální hygiena – kontrolní
Kontrola stavu dásní parodontu po akutních/chronických zánětech, po vstupním/hloubkovém čištění okolo vlastních zubů i implantátů, pravidelná kontrola hygieny u implantátů, případné dočištění, depurace, kontrola techniky čištění, kontrola používání vhodných dentálních pomůcek |
400 – 900 Kč |
Dentální hygiena – hloubkové čištění
Hloubkové čištění pod dásní (v dásňových kapsách) nejčastěji u pacientů trpících parodontitidou, odstranění zubního plaku a zubního kamene, lokální ošetření dásní, doporučení vhodných
dentálních pomůcek a dalších přípravků do dutiny ústní |
1800 Kč |
Dentální hygiena – děti do 15 let
Vyšetření dásní parodontu, sliznice, odstranění zubního plaku a zubního kamene, depurace, motivace, instruktáž techniky čištění,
poučení dítěte i doprovodu o rizicích vzniku onemocnění v dutině ústní, vlivu výživy, doporučení vhodných dentálních pomůcek, doporučení užívání zubních past, ústních vod a dalších přípravků do dutiny ústní. Doporučujeme přinést si s sebou pomůcky běžně používané při domácí ústní hygieně. |
900 Kč |
Konzultace dentální hygiena – děti do 15 let
Vyšetření dásní parodontu, sliznice, instruktáž techniky čištění, poučení dítěte i doprovodu o rizicích vzniku onemocnění v dutině ústní,
vlivu výživy, doporučení vhodných dentálních pomůcek, doporučení užívání zubních past, ústních vod a dalších přípravků do dutiny ústní. Doporučujeme přinést si s sebou pomůcky běžně používané při domácí ústní hygieně. |
400 Kč |
Bělení zubů Pure Whitening - domácí
Jedná se o metodu postupného šetrného nočního bělení zubů (14 nocí) pomocí speciálních individuálně zhotovených nosičů vyrobených z ohebné fólie, pacient obdrží individuální nosiče na bělení, bělící gely na 14 nocí, krabičku na nosiče,
instruktáž, poradenství. Domácí bělení je převážně určeno pro mladší pacienty se světlou výchozí barvou a ideálně nekuřáky. |
4500 Kč |
Bělení zubů Pure Whitening - kombinované
Jedná se o metodu kombinovaného bělení (domácí fáze a ordinační fáze), první fází je postupné šetrné noční bělení zubů (14 nocí) pomocí speciálních individuálně zhotovených nosičů vyrobených z ohebné fólie,
druhá navazující fáze je v ordinaci dentální hygieny 15.den po začátku bělení, tato metoda je velmi šetrná a zároveň velmi účinná s dlouhodobě stabilním výsledkem, pacient obdrží individuální nosiče na bělení,
bělící gely na 14 nocí, bělící gely na ordinační fázi, krabičku na nosiče, instruktáž, poradenství.
Kombinované bělení je vhodné pokud má pacient tmavší odstín skloviny, případně očekává opravdu bílé zuby, případně konzumuje velké množství pigmentovaných potravin, nápojů nebo kouří |
7000 Kč |
Bělení zubů Pure Whitening – dobělovací/udržovací sada
Sada slouží již po ukončení domácího/kombinovaného bělení k dobělování 1x za 3-4 měsíce, vždy stačí 1 noc (nicméně četnost dobělování vždy závisí na konkrétním pacientovi a jeho životosprávě (kouření, konzumace pigmentovaných potravin, nápojů) |
1000 Kč |
Impregnace ošetření citlivých krčků
Kontrola stavu zubu, dásní parodontu, ošetření povrchu citlivého zubního krčku pomocí speciálního krycího laku, který slouží ke zmírnění či odstranění bolestivosti a nepříjemných pocitů v ústech. |
100 Kč/zub |
Fluoridace
Aplikaci fluoridačního gelu, ideální v kombinaci s Air-flow ošetřením, lokální fluoridace zvyšuje odolnost zubní skloviny vůči zubnímu kazu. |
200 Kč/čelist |
Pokračovat na Estetická stomatologie
Pokračovat na Bělení zubů
Pokračovat na Zubní šperky, chrániče
Pokračovat na Endodoncie
Pokračovat na Parodontologie
Pokračovat na Implantologie
Pokračovat na Protetika na implantáty
Pokračovat na Protetika
Pokračovat na Ortodoncie