
Zabývá se chirurgickými výkony v dutině ústní. Mezi nejčastější stomatochirurgické výkony patří extrakce zubů, především zubů moudrosti nebo zubů silně poškozených kazem, které nelze extrahovat běžným způsobem, stejně jako ošetřování zubů, čelistních kostí a měkkých tkání dutiny ústní poškozených úrazem. Patří sem i odstranění části kořenového hrotu, váčků a cyst a další chirurgická řešení spojená s ortodontickou léčbou (retinované nebo nadpočetné zuby).
Specializovanou oblastí stomatochirurgie je implantologie a obor ústní a maxilofaciální chirurgie.
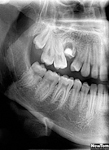
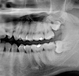
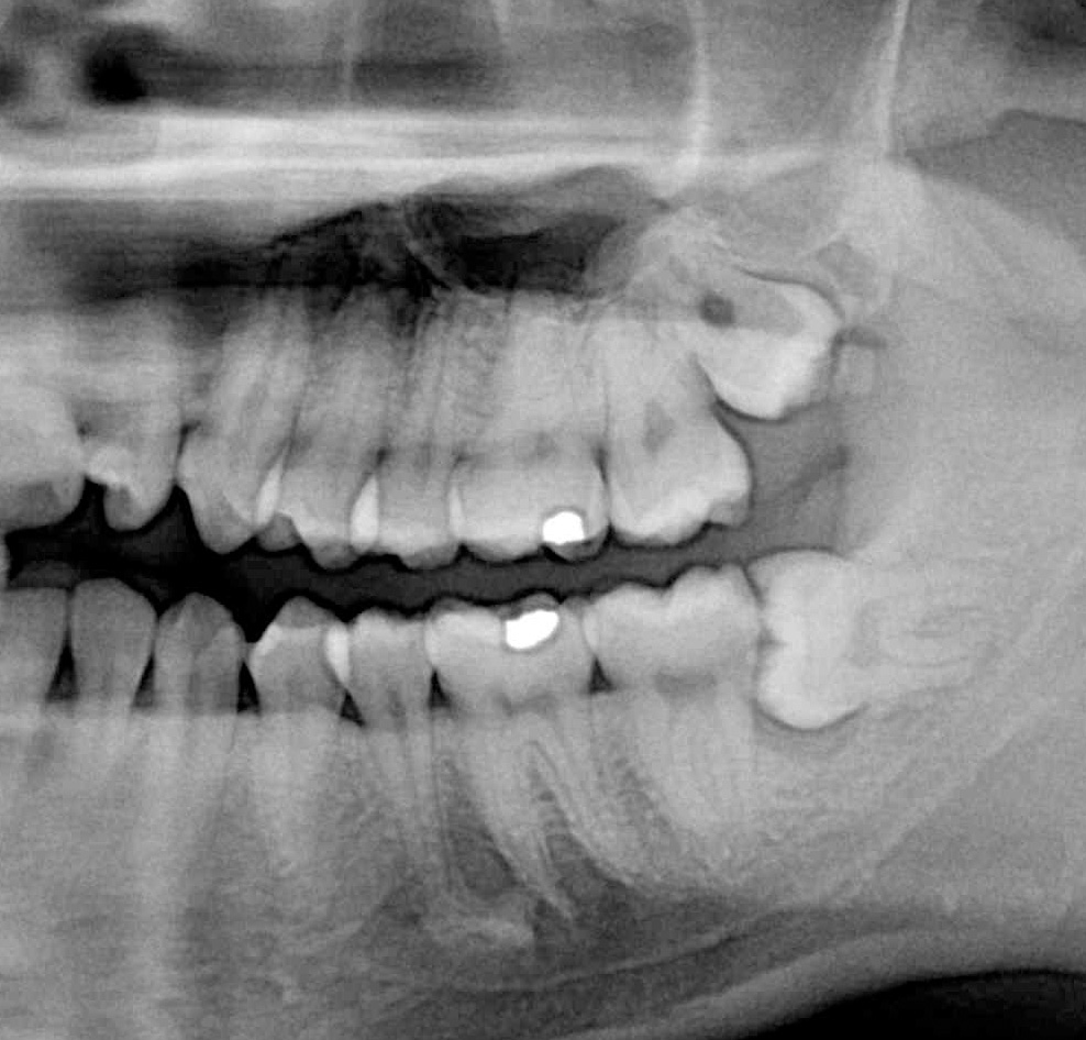
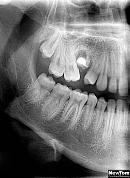
Zuby moudrosti
Zuby moudrosti (lidově „osmičky“) se zakládají v čelistech jako poslední zuby kolem 8. roku života a zpravidla prořezávají do dutiny ústní po 17. roce života. Proto velice často není místo pro jejich zařazení do správné polohy a zůstávají částečně nebo úplně skryté v kosti. Mohou být různě skloněné či zdeformované. Dále mohou nepříznivě působit i na sousední zuby či okolní měkké tkáně kolem čelistí a vyvolávat bolestivé záněty.
Jejich odstranění je někdy jednoduché, někdy obtížnější. Vždy je potřeba provést jejich odstranění v období, kdy jsou v klidu bez známek akutního zánětu (otok, bolest, teplota…).
Pokračovat na Zuby moudrosti
Retinované zuby
Neprořezání (retence) zubu je nejčastější právě u zubů moudrosti a špičáků. Ale i u ostatních zubů se s touto poruchou můžeme občas setkat.
Příčinou je většinou nedostatek místa v čelisti nebo nepřirozená poloha zárodku zubu, někdy nadpočetný zub nebo jizva po úraze.
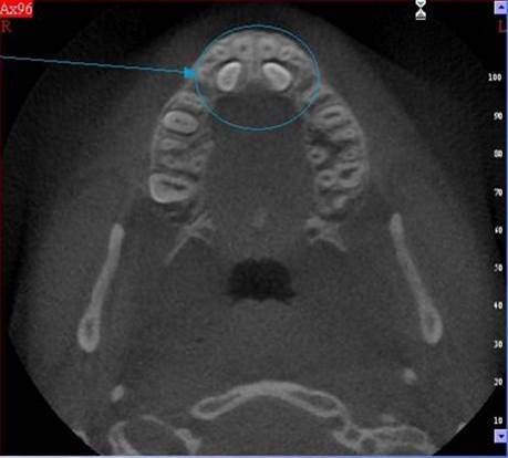
Nadpočetné zuby
Nejčastěji se vyskytují mezi horními řezáky, ale mohou být i v oblasti dolních řezáků, zubů moudrosti.
Léčba spočívá v jejich odstranění.
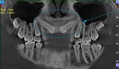
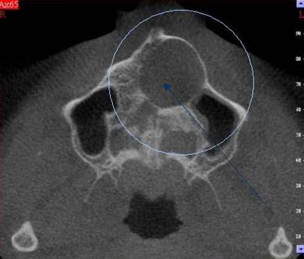
Cysty, granulomy
Vznikají při chronických (dlouhodobých) zánětech tkání kolem hrotu zubu - granulomy (tzv. váčky).
Mohou dosahovat v průměru od několika mm až po několik cm. Pak již hovoříme o cystách. Léčba spočívá v odstranění tohoto ložiska spolu s hrotem zubního kořene tzv. resekce kořenového hrotu.
Úrazy
Mohou se týkat zubů nebo čelistí, ale i měkkých tkání obličeje. Záleží na rozsahu a typu úrazu a při jejich ošetřování postupujeme přísně individuálně.
Používané přístroje, technologie
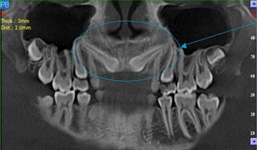
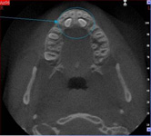
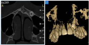
3D DVT - NewTom
Je speciální zubní digitální tříprostorový tomograf (3D), který umožňuje na základě jediného
snímkování vytvořit všechny typy RTG zobrazení, které jsou pro lékaře potřebné. Díky používané technologii tzv. „kuželového paprsku“ a speciálním senzorům je
výrazně zmenšená dávka záření - o více jak 80% proti klasickému CT vyšetření. To je významné zejména u dětí. Pomocí tohoto přístroje je možné zjisti skutečnou situaci v čelistních kostech pacienta tedy množství kosti - můžeme změřit skutečnou šířku i výšku kosti, i kvalitu kosti (hustotu) v místě uvažované implantace. 3D (tříprostorové) zobrazení umožňuje zvýšit prostorovou představu operatéra ještě před vlastní operací a zároveň pacientovi lépe objasnit a ukázat oblast plánovaného zavedení implantátu.
Pacient „neumí číst“ RTG snímky, ale díky 3D zobrazení vidí „svoji skutečnou čelist“
- např. jak je nízká či úzká, vidí průběh nervu nebo velikost čelistní dutiny, což mu umožní i pochopení nutnosti v některých případech provést pomocné zákroky ještě před vlastním zavedením implantátu (viz. kostní štěp, sinus lift, kostní granulát...).
Vyšetření pomocí tohoto přístroje používáme i ve stomatochirurgii (zlomeniny čelistí, zuby moudrosti, cysty, onemocnění čelistního kloubu), ortodoncii (retinované zuby, nadpočetné zuby), parodontologii atd.
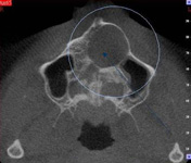
NewTom Giano
Jedná se o nejnovějším přístroj ze skupiny dentálních hybridních CBCT (3D) + 2D (pan i ceph) systémů. Opět umožňuje na základě jediného snímkování vytvořit všechny typy RTG zobrazení, které jsou pro lékaře potřebné. Používaná technologii tzv. „kuželového paprsku“ a speciální senzory pro minimální zátěž při snímkování pacienta.
Vyšetření pomocí tohoto přístroje (nebo
3D DVT - NewTom) a získaná data používáme
pro každou implantaci, dále ve stomatochirurgii (zlomeniny čelistí, zuby moudrosti, cysty, onemocnění čelistního kloubu), ortodoncii (retinované zuby, nadpočetné zuby), parodontologii atd.
Pokračovat na Dentální hygiena
Pokračovat na Estetická stomatologie
Pokračovat na Protetika
Pokračovat na Implantologie